瀬谷歯科医院

患者さまの声

80台 女性
【ご来診期間】約2か月間
【主訴】

  • ①上顎部分義歯の審美面
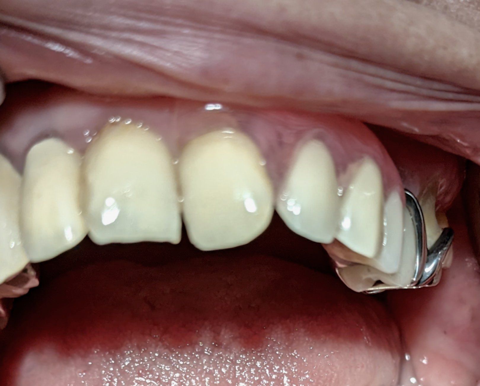
    前歯の針金が目立っていて外観が気になっている
  • ②下顎部分義歯の咬合時の痛み/頭痛がするほどの装着感の悪さ
    前医で新製したばかりなのに装着すらままならない。その後の調整に何度通院しても全くよくならない。


【治療計画および義歯設計】

  • 上床
    1. ※金属床(チタン床)部分義歯
    2. ※スマートデンチャー(歯肉色維持装置)
    3. ※四層式硬質レジン人口歯:GC社製サーパス
      (エレガンスタイプGE型 色調A-35)
    4. 左側:義歯全体画像、右側:義歯装着時画像
    1. ①審美面の改善には現状の両翼鈎からローチバークラスプへの変更または磁性アタッチメント等も選択肢として考えられた
    2. ②側切歯の便宜抜髄には患者本人が否定的なことを踏まえ充分に相談
    3. ③熟慮検討の結果、患者希望を優先し笑顔を見せた際の見栄えに最も有利な設計を選択。弾性素材を用いた維持装置を伴うスマートデンチャーを採用することに決定
    4. ④金属床部分は軽量かつ生体親和性に優れたチタン床にて設計した
  • 下床
    1. ※健康保険の範囲内での設計
    2. ※レジン床部分義歯
    3. ※鋳造リンガルバー
    4. 人口歯は上床を準用


【患者さまからのコメント】

入れ歯の治療に分かりやすく説明いただき、納得して先生にお願いしました。
出来た入れ歯は自分の歯と色・形が自然にとけこみ満足しています。
先生とのご縁を今後大切にと思っています。
ありがとうございます。

【医院からのコメント】

この度のご受診ありがとうございます。
いくつかのご要望にお応えすべく設計させていただきました。またご相談内容も加味しながら検討を進めました。
ご家族、またお孫様とのコミュニケーションもご好評のようで安心いたしました。

日々の食生活や日常会話などの機能面、人との対面時の審美面などには特に注力いたしました。
今の満足度を長期に保つにはメンテナンスが重要となります。有床義歯の定期点検は6~12か月を目安にご予定ください。

残存歯の不調、あるいは義歯の不具合や破損等ございましたら、なんなりとお申し付けください。
今後も現状の維持管理を精一杯お手伝いさせていただきますので、何卒よろしくお願いいたします。